矯正歯科
このページの目次
- 1 費用を抑えて歯並び改善!エミニナル矯正について
- 2 小児矯正・成人矯正相談実施中!マウスピース矯正も
- 3 目立たない矯正が可能な大人の矯正治療(マウスピース、舌側等)
- 4 目立たない・取り外せるマウスピース型矯正装置インビザライン
- 5 矯正歯科認定医 三上から矯正をお考えの方へメッセージ
- 6 矯正歯科医師三上が行った治療例と解説
- 6.1 30代女性 治療期間:18ヶ月 抜歯:親知らず 治療費770,000円 IPRあり
- 6.2 10代男性 治療期間:27ヶ月 抜歯:上の左右1本ずつ 治療費770,000円
- 6.3 10代男性 治療期間:25ヶ月 抜歯:上下左右1本ずつ 治療費880,000円
- 6.4 30代女性 治療期間:22ヶ月 抜歯:上下左右1本ずつ 治療費770,000円
- 6.5 10代女性 治療期間:30ヶ月 抜歯:上の左右1本ずつ 治療費880,000円
- 6.6 10代男性 治療期間:36ヶ月 抜歯:上下左右1本ずつ 治療費770,000円
- 6.7 10代女性 治療期間:14ヶ月 抜歯:なし 治療費1,001,000円 IPRあり
- 6.8 60代女性 治療期間:36ヶ月 抜歯:上の左右1本ずつ 治療費1,254,000円
- 6.9 20代男性 治療期間:3ヶ月 抜歯:なし 治療費165,000円
- 6.10 10代男性 治療期間:26ヶ月 抜歯:なし 治療費1,056,000円
- 6.11 30代女性 治療期間:5ヶ月 抜歯:なし 治療費1,045,000円
- 6.12 50代男性 治療期間:18ヶ月 抜歯:下顎前歯1本 治療費1,034,000円
- 7 矯正治療で可能な不整歯列の種類について
- 8 矯正治療に伴うリスクや注意点(※一例)
- 9 矯正治療の費用について
- 10 マウスピース型矯正装置(インビザライン)と薬機法等について
- 11 習志野市実籾で矯正歯科を希望の方はぜひ一度ご相談ください
費用を抑えて歯並び改善!エミニナル矯正について
※矯正歯科治療は公的医療保険の適用外の自費(自由)診療となります。

コウノ歯科医院は「矯正ドクターが必ずあなたの担当医になる」がコンセプトの『エミニナル矯正』の提携クリニックとして参加しました。
エミニナル矯正の3つの特徴
- 月々約3,600円から治療可能*
- 目安の治療期間は3ヶ月〜*
- 提携クリニック全国拡大中
治療費用の目安は【軽度〜中度13万円〜47万円】です。
矯正治療をご検討している方はぜひ、来院時受付にお声がけください。
※1:月々約3,600円〜:デンタルローンを利用して治療期間が5ヶ月(22万円:税込)を60分割した場合の手数料抜きの月額費用です。
※2:治療期間には個人差があります。また保定期間は含みません。
※3:矯正ドクター:矯正治療を専門としている歯科医師
※4:治療費用は矯正治療完了後に必要なリテーナーの料金は含まれておりません。
※5:自由診療のため保険適用外です。
※6:治療費用総額は、患者様の歯並びや噛み合わせの状態によって変動いたします。
※7:定期購入プランの場合、月2.2万円(税込)から始められます。
小児矯正・成人矯正相談実施中!マウスピース矯正も

一般歯科と矯正歯科は全く異なる科目になりますので、当院では矯正専門の医師が矯正治療を行います。また矯正専門の医師が、子供さんの歯の矯正や歯並びの問題、そして大人の矯正治療について治療相談を実施していますのでご利用ください。
目立たない矯正が可能な大人の矯正治療(マウスピース、舌側等)

通常の矯正装置は、金属製で出来たワイヤー、またプラスチック製で出来たブラケットによってできています。しかしこの装置はとても目立ちます。そのため当院では目立ちにくい矯正装置を提案しています。
-
マウスピース矯正
プラスチック製で出来た透明のマウスピースを使って矯正します。矯正中でも目立ちません。またマウスピースですので取り外しも可能です。 -
舌側矯正
矯正装置というのは、本来歯の表側に装着します。しかしこの舌側矯正は、歯の裏側に装着します。そのため、外見上あまり目立つこともないのです。 -
白いワイヤーを使用した矯正
見た目は普通の金属で出来たワイヤー矯正装置と同じですが、装置とワイヤーを白くして、歯の色と同化させ目立ちづらくします。
一般的な治療期間と通院回数について
矯正治療は症例にもよりますが、治療期間は約2~2年半が目安となり、1ヵ月~数ヵ月に1回、装置の調整・経過観察のため来院いただくため、治療回数は24~30回が目安となります。
目立たない・取り外せるマウスピース型矯正装置インビザライン

コウノ歯科医院では、目立たない・取り外せるマウスピース型矯正装置インビザラインによる快適な矯正治療が可能です。
マウスピース型の矯正装置を1日20~22時間ほど装着して段階的に歯を移動し、理想の歯並び・咬み合わせへと改善していきます。
マウスピース型矯正装置インビザラインの特徴について
-
透明で目立ちにくい
マウスピースは透明なので、装着時も目立ちにくいです。周囲の目を気にせずに矯正治療が可能です。 -
取り外せる
マウスピースはご自身で脱着ができるため、ストレスなく食事や歯磨きが可能です。 -
痛みや違和感が少ない
マウスピースは歯にしっかりとフィットします。また、少しずつ歯を移動するため、治療時の痛みや違和感が少ないです。
-
金属アレルギーにならない
マウスピースは金属を一切使用していないため、金属アレルギーの心配がありません。 -
改善後の歯列を確認できる
クリンチェックという専用ソフトによって、歯並びがどのように改善されるかを事前に確認できるため、モチベーションを保ちながら、矯正治療に専念いただけます。
-
通院回数が少ない
マウスピースは1週間~10日を目安に患者さまご自身で交換するため、ワイヤー矯正などに比べて通院回数が少なくてすみます。
小児用のマウスピース型矯正装置「インビザライン・ファースト」もございます

コウノ歯科医院では、お口の中に乳歯と永久歯が混在する6~10歳位までの小児が対象となるマウスピース型矯正装置「インビザライン・ファースト」も取り扱っております。
マウスピース型矯正装置インビザライン・ファーストは、矯正の1期治療の目的である「顎骨の拡大」と第2期治療(成人矯正)の目的である「歯並びの調整」が同時にできる活気的な矯正装置です。
顎骨を拡大して生え変わる永久歯のスペースを確保しながら、歯並びの調整によって一つひとつの歯を理想の位置へ動かしていくため、効率良く歯並び・咬み合わせの改善が期待できます。
矯正歯科認定医 三上から矯正をお考えの方へメッセージ

矯正歯科治療は年単位の治療になります。そのため、患者様には負担があるかと思いますが、日に日に歯並び、噛み合わせが良くなっていくのが実感され、皆様楽しんで来院されます。歯並び、噛み合わせを治すことでご自身での歯磨きがやり易くなり歯の寿命を延ばすことに繋がります。
最近になって矯正歯科治療はだいぶ一般的になりつつありますが、まだまだ患者様にとってハードルが高いと考えられております。なんでもお答えいたしますので歯並び、噛み合わせについて気になりましたらご相談下さい。
-
経歴
[千葉県習志野市生まれ
[平成20年]東京歯科大学歯学部卒業
[平成21年]東京歯科大学歯学部附属病院臨床研修修了
[平成24年]東京医科歯科大学大学院医歯学総合研究科顎顔面矯正学分野矯正歯科専攻生課程修了 -
所属
・日本矯正歯科学会
・日本矯正歯科学会認定医
・東京矯正歯科学会
・日本顎変形症学会
・日本口蓋裂学会
矯正歯科医師三上が行った治療例と解説
※治療費は全て税込です。(矯正装置代、検査料、調整料含む)
▼写真クリックで拡大してご覧いただけます。
-
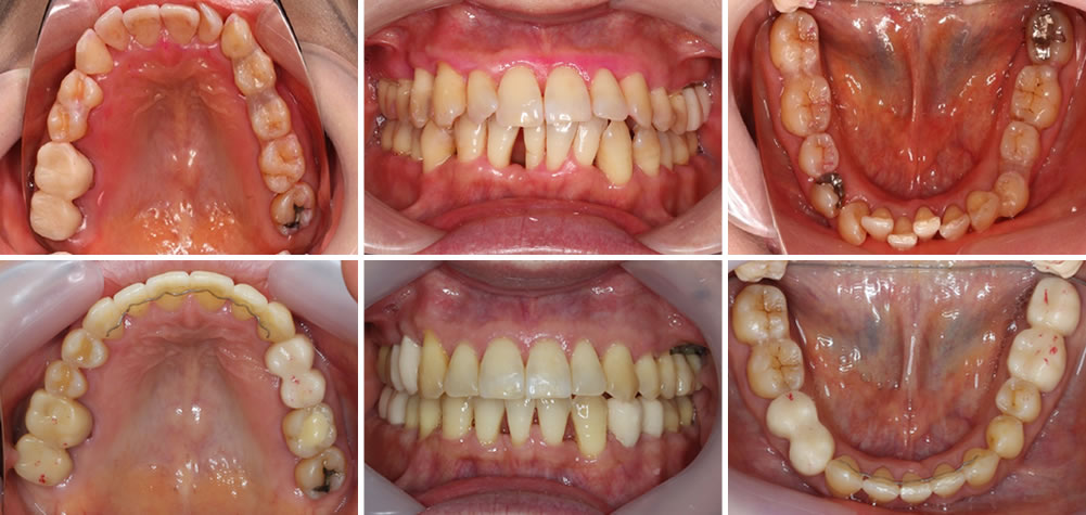
30代女性 治療期間:18ヶ月 抜歯:親知らず 治療費770,000円 IPRあり
30歳代の女性です。前歯のデコボコが気になるとのことで来院されました。デコボコの度合いが中等度であったため、抜歯をしない治療か抜歯を行う治療か、それぞれのメリット、デメリットをご本人にお話し治療方針を決めました。治療後は歯並び、咬み合わせともにに満足して頂きました。
【リスク】
・歯の移動の際に痛みを感じる場合がある。
・矯正治療後は、保定装置を装着しなければ歯が後戻りする場合があります。 -
10代男性 治療期間:27ヶ月 抜歯:上の左右1本ずつ 治療費770,000円
大学生の男性です。前歯が出ている、いわゆる出っ歯症状で、口が閉じづらいとのことで来院されました。治療方針は上の前歯を後ろに下げるため、上の左右の歯を1本ずつ抜歯して矯正治療を行いました。治療後、口元がすっきりし、歯並び、咬み合わせにも大変満足して頂きました。
【リスク】
・歯の移動の際に痛みを感じる場合がある。
・矯正治療後は、保定装置を装着しなければ歯が後戻りする場合があります。 -
10代男性 治療期間:25ヶ月 抜歯:上下左右1本ずつ 治療費880,000円
大学生の男性です。上の2番目の前歯が中に入っている、歯みがきがやりずらいとのことで来院されました。デコボコの度合いが中等度であったため、抜歯をしない治療か抜歯を行う治療か、ご本人とよくお話し治療方針を決めました。治療方針として上下左右の歯を1本ずつ抜歯して矯正治療を行いました。歯並び、咬み合わせにも大変満足して頂きました。
【リスク】
・歯の移動の際に痛みを感じる場合がある。
・矯正治療後は、保定装置を装着しなければ歯が後戻りする場合があります。 -
30代女性 治療期間:22ヶ月 抜歯:上下左右1本ずつ 治療費770,000円
上下の前歯のデコボコ、口元が出ていることが気になるとのことで来院されました。仕事で海外によく行かれており、海外の方の歯並びがきれいなことを見て矯正治療を行う決断をされたそうです。治療方針として口元を下げるために上下左右の歯を1本ずつ抜歯して矯正治療を行いました。歯並び、咬み合わせ、そして左の上下の親知らずも保存でき大変満足頂きました。
【リスク】
・歯の移動の際に痛みを感じる場合がある。
・矯正治療後は、保定装置を装着しなければ歯が後戻りする場合があります。 -
10代女性 治療期間:30ヶ月 抜歯:上の左右1本ずつ 治療費880,000円
高校生の女性です。前歯の隙間、前歯が出ているとのことで来院されました。治療方針は上の前歯を後ろに下げるため、上の左右の歯を1本ずつ抜歯して矯正治療を行いました。治療後、口元がかなりきれいになり、親御様、ご本人も歯並び、咬み合わせに大変満足して頂きました。
【リスク】
・歯の移動の際に痛みを感じる場合がある。
・矯正治療後は、保定装置を装着しなければ歯が後戻りする場合があります。 -
10代男性 治療期間:36ヶ月 抜歯:上下左右1本ずつ 治療費770,000円
大学生の男性です。上下の前歯のデコボコが気になるとのことで来院されました。デコボコの度合いが重度であったため、治療方針として上下左右の歯を1本ずつ抜歯して矯正治療を行いました。治療期間が長くなってしまいましたが、歯磨きが簡単になったと言って下さり、咬み合わせにも大変満足して頂きました。
【リスク】
・歯の移動の際に痛みを感じる場合がある。
・矯正治療後は、保定装置を装着しなければ歯が後戻りする場合があります。 -
10代女性 治療期間:14ヶ月 抜歯:なし 治療費1,001,000円 IPRあり
凸凹な歯並びを治したいとのことでご来院されました。歯の移動に必要なスペースが僅かに足りなかったため、IPRを行い、非抜歯で歯並びを改善いたしました。
(IPR…歯の側面を削り、歯幅を小さくしてスペースを確保する方法)
【リスク】
・歯の移動の際に痛みを感じる場合がある。
・矯正治療後は、保定装置を装着しなければ歯が後戻りする場合があります。 -
60代女性 治療期間:36ヶ月 抜歯:上の左右1本ずつ 治療費1,254,000円
ばらばらに並んだ歯並びを綺麗にしたいとご来院されました。歯が収まるスペースが足りなかったため、上顎左右1本ずつ(右上4番、神経のない左上6番)歯を抜き、目立ちにくい白いワイヤーを使用して叢生を改善しました。
【リスク】
・歯の移動の際に痛みを感じる場合がある。
・矯正治療後は、保定装置を装着しなければ歯が後戻りする場合があります。 -
20代男性 治療期間:3ヶ月 抜歯:なし 治療費165,000円
左上奥歯の位置を正したいとご来院された20代の男性患者さまです。スペースは十分にあったため、歯を抜かずに部分的な矯正によって歯並びを改善しました。
【リスク】
・歯の移動の際に痛みを感じる場合がある。
・矯正治療後は、保定装置を装着しなければ歯が後戻りする場合があります。 -
10代男性 治療期間:26ヶ月 抜歯:なし 治療費1,056,000円
下顎が右側にずれているため、交叉咬合(上下の咬み合わせが逆の歯並び)になっている患者さまです。歯列の拡大とワイヤー装置で咬み合わせを改善しました。
【リスク】
・歯の移動の際に痛みを感じる場合がある。
・矯正治療後は、保定装置を装着しなければ歯が後戻りする場合があります。 -
30代女性 治療期間:5ヶ月 抜歯:なし 治療費1,045,000円
歯の欠損と歯と歯の隙間が開いているのを治したいとのことでご来院されました。欠損部は入れ歯での治療をご希望されたため、そのスペースを確保しながら、矯正治療を実施。歯並び、咬み合わせを改善しました。
【リスク】
・歯の移動の際に痛みを感じる場合がある。
・矯正治療後は、保定装置を装着しなければ歯が後戻りする場合があります。 -
50代男性 治療期間:18ヶ月 抜歯:下顎前歯1本 治療費1,034,000円
右上の歯の傾きを治したいとのことでご来院されました。こちらの患者さまは歯周病を患っていたため、歯周病を改善後、ワイヤー矯正と補綴治療で歯並び・噛み合わせを改善しました。
※治療後の写真は、最終的な補綴物が入る前の仮歯の状態です。
【リスク】
・歯の移動の際に痛みを感じる場合がある。
・矯正治療後は、保定装置を装着しなければ歯が後戻りする場合があります。
矯正治療で可能な不整歯列の種類について

矯正治療を行うというのは、歯並びなど歯について何かしらの問題があることを意味します。これを歯列不正と言います。この歯列不正について紹介します。
-
出っ歯(上顎前突)
出っ歯は日本人に多い歯列不正の一例です。上部の前歯が前方に出でいる状態です。日本人に多い症状であり、顔の形を大きく変えることもあります。 -
開咬(かいこう)
奥歯を噛んだ際、上下の前歯は噛んでなく、前歯の歯列間に隙間が出来た状態です。常に前歯が噛み合うことはありません。 -
受け口(下あごが出ている)
下歯が上歯と比べ前方に出ている形態です。出っ歯とは反対の状態です。見た目は、アゴが出た状態に見えます。上歯が削れることもあります。
-
叢生(らんぐい歯)
乱杭歯とも呼ばれ、歯が様々な方向に生えている状態です。またすべての歯列が乱れた状態です。上下それぞれの歯で噛み合わすことが出来ませんので、お口にも様々な悪影響が出ます。 -
すきっ歯(空隙歯列)
「すきっ歯」と呼ばれる歯列不正です。歯間に隙間が出来る状態です。食事の時の食べ物が詰まり、また声を出す時に発音に支障が出たりすることもあります。 -
深い咬み合せ(過蓋咬合)
上歯と下歯の噛み合いが深い状態です。上歯が下の歯が見えなくなるまで覆いかぶさります。見た目だけでなく深く噛み合うことにより、歯がすり減ることもあります。
矯正治療に伴うリスクや注意点(※一例)
- 歯並びによってはご希望の装置で対応できない場合がございます。
- 症例によっては最終的な歯列を整えるため、改善段階で一時的に歯並びが悪化する場合がございます。
- 矯正開始時・装置の調整後は装着の際に、違和感や痛みを強く感じることがあります。
- 固定式の装置は食べカスが挟まりやすかったり、歯磨きがしっかり行えないことによって、虫歯のリスクが上がります。徹底したセルフケアを心がけましょう。
矯正治療の費用について
※下記すべて税込となります。また治療期間、回数はあくまで目安で症状により変動します。
※矯正歯科治療は公的医療保険の適用外の自費(自由)診療となります。
(目安治療期間:3~36ヶ月 治療回数:3~36回)
小児矯正
| 名称 | イメージ | 特性 | 料金(税込) |
|---|---|---|---|
| 矯正相談 | ![]() |
お口の中を拝見し治療の期間や装置、費用などについて充分な時間をかけて説明をさせていただきます。必要があればレントゲンを撮影します。 | 無料 |
| 検査·診断 | ![]() |
歯の型、顎、頭蓋骨のレントゲン、顔や口の中の写真を撮ります。 | 45,000円 |
| 第Ⅰ期治療 | ![]() |
(乳歯と永久歯の混合歯列期の治療) 取り外しできる装置や部分的に付けたままの装置を用いて、すでに生えている永久歯の不正を治し、上下のあごの成長のバランスを整え、これから生えてくる永久歯がなるべくきれいに咬み合わさるように誘導していきます。第Ⅰ期治療は、不正咬合が重症化するのを予防し、将来の第Ⅱ期治療をスムーズに行えるようにするための治療でもあります。 |
380,000円 (装置代込) |
| 第Ⅱ期治療 | ![]() |
(永久歯が生え揃った後の全体的な治療) 1本、1本の歯を動かすため、ワイヤーやマウスピース型矯正装置を用いて歯並びを整え、正しい噛み合わせを作っていきます。 |
380,000円~ |
| 矯正管理料 | ![]() |
矯正治療開始後、ご来院毎にお支払い頂きます。 | 6,000円/月 |
| 保定装置料 | ![]() |
治療終了後、歯並びを安定させるための装置です。 |
【取り外し式】 【固定式】 |
成人矯正
| 名称 | イメージ | 特性 | 料金(税込) |
|---|---|---|---|
| 矯正相談 | ![]() |
お口の中を拝見し治療の期間や装置、費用などについて充分な時間をかけて説明をさせていただきます。必要があればレントゲンを撮影します。 | 無料 |
| 検査·診断 | ![]() |
歯の型、顎、頭蓋骨のレントゲン(※全顎のみ)、顔や口の中の写真を撮ります。 | 全顎矯正検査・診断料45,000円 部分矯正検査・診断料6,000円 |
| マウスピース型矯正装置 (インビザライン) |
![]() |
マウスピース型矯正装置(インビザライン)は、透明に近いマウスピース型の矯正装置を歯に装着して歯並びを矯正する方法です。一人ひとりの歯に合わせて作製される矯正装置を装着し、治療の段階に合わせて新しい装置に交換しながら徐々に歯を動かし、歯並びを矯正します。 矯正治療終了後は来院毎に矯正観察料として3,000円(税込)お支払い頂きます。 |
インビザラインのみ1,100,000円 (装置代・管理料込) インビザラインとワイヤーを用いる場合 |
| ワイヤーを用いる矯正装置 | ![]() |
歯にブラケットを貼り付けて歯を動かす方法です。一般的な大人の成人の矯正治療です。 | 基本施術料 880,000円 (装置代込) |
| 白いワイヤーを使用した矯正(表側の矯正装置) | ![]() |
金属ではなく、単結晶サファイア素材でできた透明の装置ですので目立ちません。 | 990,000円 (装置代込) |
| 舌側矯正(裏側の矯正装置) | ![]() |
歯の内側にワイヤーを架け、外からは器具がまったく見えないようにします。 | 舌側矯正(上顎)+白いワイヤー(下顎) 1,200,000円 (装置代込) 舌側矯正 |
| 部分矯正(MTM) | ![]() |
部分的な矯正です。歯を1本~数本移動させ、隙間が空いてしまっている歯や、傾いている歯を正しい並びに整えます。 | 200,000円~ (装置代込) |
| 便宜抜歯 | ![]() |
矯正治療を行う上で便宜的に歯を抜く場合があります。 | 7,000円~/1本 |
| 矯正管理料 | ![]() |
矯正治療開始後、ご来院毎にお支払い頂きます。 | 6,000円/月 |
| 保定装置料 | ![]() |
治療終了後、歯並びを安定させるための装置です。 |
【取り外し式】 【固定式】 |
マウスピース型矯正装置(インビザライン)と薬機法等について
- マウスピース型矯正装置(インビザライン)は、薬機法上の承認を得ておりません。
※マウスピース型矯正装置(インビザライン)で用いるクリンチェック・ソフトウェアは薬機法の承認を得ています。 - マウスピース型矯正装置(インビザライン)は、米国アライン・テクノロジー社が製造している製品です。当院は、アライン・テクノロジー・ジャパンを通じて入手し、矯正治療に使用しています。
- 日本国内においても、様々なマウスピース型の矯正装置が製造・販売されており、薬事承認されている物もいくつかございます。日本で医療機器として認可をいただく場合は「日本の国家資格を有した医師・歯科技工士が薬事承認されている材料で製作した物」または、「薬事承認された材料で製作した既製品」でなければならないため、海外で製作されるマウスピース型インビザラインは認められません。
- マウスピース型矯正装置(インビザライン)は、1998年にFDA(米国食品医薬品局)により医療機器として認証を受けています。世界でこれまで約1,300万人以上(※2022年6月時点における「インビザライン・システム」および「インビザライン Goシステム」の合計)の方が治療を受けられていますが、矯正治療に伴う一般的なリスク以外の副作用等については報告はありません。
- マウスピース型矯正装置(インビザライン)は、完成物薬機法対象外の矯正歯科装置です。そのため、承認薬品を対象とする医薬品副作用被害救済制度の対象外となる場合があります。
習志野市実籾で矯正歯科を希望の方はぜひ一度ご相談ください

習志野市実籾で矯正歯科治療をご検討している方は、ぜひ実籾駅徒歩1分と好立地の当院までご相談してください。矯正治療の担当医師が治療相談を行っています。治療の期間、治療費、治療装置、痛みの程度など、丁寧に説明いたします。
子供の歯の矯正を検討している保護者の方へ
歯の矯正を催促するお子さんはあまり見かけません。子供の多くは歯医者さんを嫌っていますので、自分から歯の治療を求めることはあまりありません。
しかし矯正治療というのは10年や20年後など、将来そのありがたみを理解するものなのです。自分の歯並びの美しさに気付いた時に、感謝出来るのではないかと思います。
そのため矯正治療という行為は、保護者がお子さんに提供してあげられる最高のプレゼントであると言えます。
大人の歯の矯正を検討している方へ
成人矯正を希望している方の多くは、「可能な限り短期間で」「治療中は目立つことがないように」などの希望を持っています。
当院ではそのように希望に応えるべく、新しい矯正治療法を準備してお待ちしています。
患者さんのライフスタイルもきちんと考慮して、それぞれの希望に合った矯正治療を提案します。



















