上顎の部分矯正治療症例(10代 女性)
投稿日:2020年12月3日
カテゴリ:矯正治療例
上顎の部分矯正治療症例(10代 女性)

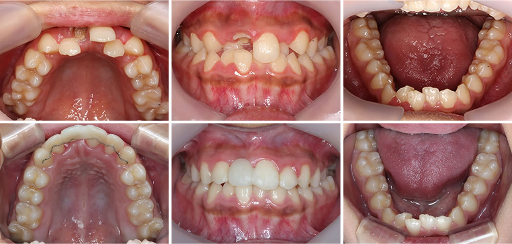
こちらの患者さまは、折れた前歯の治療を他医院にて受診したところ、現在の歯並びでは治療が難しいとのことで当院へ矯正治療を受けにいらっしゃいました。
治療が必要な上顎のみ、部分矯正を行い、歯並びをきれいに整えました。折れた前歯はブリッジで治療をするとのことです。
| 年齢・性別 | 10代女性 |
| 矯正治療期間 | 1年8ヵ月 |
| 抜歯の有無 | 非抜歯 |
| 治療費 | 220,000円/税込(検査料、装置代、調整料含む) |
| リスク・注意点 | 矯正に伴い、痛みや違和感を感じる場合があります 矯正治療後は、保定装置を装着しなければ歯が後戻りする場合があります。 |
| 備考 | 上顎のみの部分矯正治療 |
■ 他の記事を読む■






