叢生(凸凹)の矯正治療例(50代女性)
投稿日:2021年2月8日
カテゴリ:矯正治療例
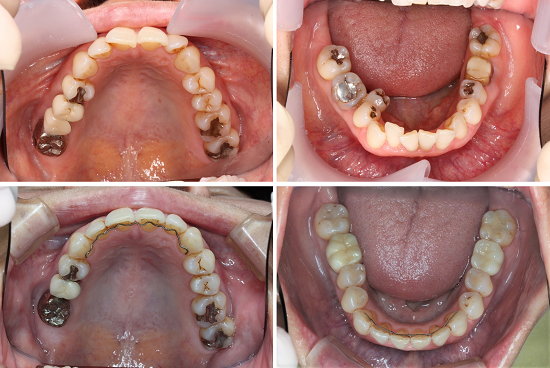
叢生の矯正治療例

50代女性の患者様です。
歯が磨きにくいこと、歯と歯茎が痛いと来院されました。
ワイヤーをつけ歯並びの横幅を広げながら
歯の凸凹を改善し、歯磨きもしやすくなりました。
右上の歯が1本少なくなっているように見えますが
歯を抜いたのではなく
ブリッジのポンティック(人工の歯)を除去しています。
| 年齢・性別 | 50代女性 |
| 矯正治療期間 | 3年1か月 |
| 抜歯の有無 | 非抜歯 |
| 治療費 | 1,138,500円/税込(検査料、装置代、調整料含む) |
| リスク・注意点 | 歯の移動に伴い、痛みや違和感を感じる場合があります。 矯正治療後は、保定装置を装着しなければ歯が後戻りします。 |
| 備考 | 特になし |
■ 他の記事を読む■






