叢生(凸凹)の矯正治療症例(10代 女性)
投稿日:2021年1月13日
カテゴリ:矯正治療例
叢生(凸凹)の矯正治療症例

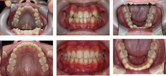
歯並びの凸凹を気にされて来院された10代女性の患者様です。
分析の結果上顎の八重歯や下顎の凸凹を並べなおすためのスペースが足りなかったので
上下左右の歯を1本ずつ抜き、ワイヤーをつけ歯並びの改善を行いました。
| 年齢・性別 | 10代女性 |
| 矯正治療期間 | 2年6か月 |
| 抜歯の有無 | 上下左右1本ずつ |
| 治療費 | 1,089,000円/税込(検査料、装置代、調整料含む) |
| リスク・注意点 | 歯の移動に伴い、痛みや違和感を感じる場合があります。 矯正治療後は、保定装置を装着しなければ歯が後戻りします。 |
| 備考 | 特になし |
■ 他の記事を読む■






